Tibia a pezzi

Discussione in 'Off-Topic' iniziata da SniperBMW, 8 Aprile 2010.

  1. SniperBMW

    SniperBMW Presidente Onorario BMW

    22.539
    1.351
    30 Luglio 2007
    Reputazione:
    7.276.468
    La mia
    Ebbene, a quasi un anno dalla quarta operazione, aggiorno questo dannato topic.

    Le cose non sono migliorate per niente: l'osso è irrimediabilmente osteomielitico e la soluzioni è un'utopia.

    La varianti che mi sono state proposte in occasione dell'ultima visita di qualche giorno fa sono:

    - rimanere così senza fare più nulla;

    - sottoporsi a nuova operazione per "Toelettatura Chirurgica", come l'ultima affrontata l'anno scorso, nella speranza che (poco reale) che si riesca a fare qualcosa fi più;

    - tagliare il pezzo di tibia infettato e mettere il fissatore esterno per almeno due anni che però comporterebbe il blocco totale della caviglia che mai più tornerebbe ad avere la sua articolazione con relativo zoppicare a vita senza poter far più nessuno sport e quant'altro.

    Ovviamente ho scelto la seconda soluzione altresì consigliata dai due ortopedici che mi seguono. Sono in prenotazione per la seconda metà di Settembre così mi godo tutta l'estate.

    L'eventuale terza opzione potrò adottarla tra 15/20 anni quando le cose, peggiorando, mi obbligheranno in tal senso: zoppicare a 60/65 anni è ben diverso che ora a 44.

    Il fatto che ci sia la fistola (buco che da all'esterno) può essere positivo per via del fatto che l'infezione si sfoga meno verso l'interno. Sperem.....

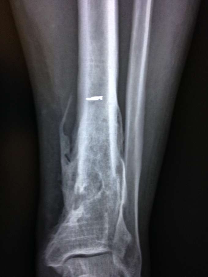
    Ecco qualche foto:

    Radiografie: si noti il buco nero che è il focolaio dell'infezione che ha mangiato l'osso (foto 1) e il callo osseo che si stacca a causa dell'osteomielite (foto 2)

    [​IMG]

    [​IMG]

    Fistola/Buco: il bianco che si vede dentro è l'osso.

    [​IMG]

    [​IMG]

    Così è come devo andare in giro

    [​IMG]
     
    A 1 persona piace questo elemento.
  2. beckervdo

    beckervdo

    56.042
    4.458
    26 Febbraio 2006
    Reputazione:
    609.512.646
    Kia Sportage HEV 2023
    Porcapupazzola....dannati microbi infettivi che ti divorano -.-
     
  3. carlo76

    carlo76 Primo Pilota

    1.367
    71
    2 Giugno 2012
    Reputazione:
    55.679
    -
    Tibia a pezzi

    Ti auguro che la nuova toelettatura vada meglio, mai dire mai!
     
  4. Ciuller

    Ciuller Amministratore Delegato BMW

    2.970
    122
    5 Febbraio 2012
    Reputazione:
    169.743
    ExBMW 330D E92/ Ex500Abarth ..
    La madonna Sniper .. E' la prima volta che lo leggo e che vedo una roba simile.

    Mi spiace di brutto.
     
  5. Filippo83

    Filippo83 Amministratore Delegato BMW

    4.755
    145
    24 Aprile 2013
    Reputazione:
    156.036
    Tamarro mobile E92... ex Audi A4, ex Foc
    Solidarietà.

    Brutte cose. Speriamo si risolvano.
     
  6. Infinity

    Infinity

    23.152
    6.182
    22 Gennaio 2004
    Reputazione:
    606.164.712
    BMW 320d E91 LCI
    Tibia a pezzi

    Certo che però rischi in qualsiasi momento un'invenzione o sbaglio?

    Tipo se vai al mare vietato il bagno immagino...
     
  7. Niko71

    Niko71 Presidente Onorario BMW

    9.941
    1.072
    24 Febbraio 2009
    Reputazione:
    35.971.857
    Alfa Romeo Stelvio
    Tibia a pezzi

    Solidarieta' Sniper, solidarieta' da chi dopo l'esplosione del piatto tibiale ha dovuto cambiare abitudini e stile di vita :( /emoticons/sad@2x.png 2x" width="20" height="20" />
     
  8. ilbmwista

    ilbmwista

    26.641
    1.361
    9 Dicembre 2008
    Reputazione:
    10.000.000
    Bmw 320ci E46///M
    Massima solidarietà Ale:(
     
  9. bluemarine

    bluemarine Presidente Onorario BMW

    8.231
    5.244
    9 Giugno 2008
    Wichita KS
    Reputazione:
    1.238.506.430
    Subaru Crosstrek Limited AWD
    Mai visto una cosa simile.....

    Speriamo il prossimo intervento sia risolutivo..

    Mi dispiace molto e ti faccio i migliori auguri !:wink:
     
  10. Michele G.

    Michele G. Presidente Onorario BMW

    29.995
    6.054
    2 Febbraio 2012
    Reputazione:
    788.135.120
    La Perla Bianca
    Socio mi dispiace davvero tanto...su con la vita, vedrai che tutto passerà ;) /emoticons/wink@2x.png 2x" width="20" height="20" />
     
  11. gruietta

    gruietta Direttore Corse

    2.233
    85
    25 Febbraio 2010
    Reputazione:
    61.846
    z4 E89 20i stage 2 :)
    Ale....

    posso solo dire che mi dispiace per la sfortuna che hai avuto visti i decorsi medici....

    non ti conosco fisicamente, ma sento ugualmente di esserti moralmente vicino davvero!

    so che non ti aiuta per niente questo, ma non lo dico solo per parlare ma perchè lo sento!

    a tutto c'è una fine è questione di tempo! la forza e la grinta con cui affronti la vita non è da sottovalutare (vedi sfighe da up tipo per le gomme) e per tanto non puoi che uscirne da VINCITORE ...

    pazienza e voglia di vincere !

    penso di parlare a nome di tutto il forum! ti siamo vicini
     
  12. Ivano65

    Ivano65 Presidente Onorario BMW

    6.018
    698
    27 Marzo 2009
    Reputazione:
    8.169.180
    BMW 530d F10
    tanti auguri....la fistola l'ho avuta anche io per anni.......spera che sia sempre aperta,perchè così sfoga all'esterno...se si chiude si forma un ascesso...il quale intaccherebbe di più l'osso....io il fissatore l'ho tenuto per due anni...fino alla calcificazione totale dell'osso.....fai sempre pulire l'osso perchè fin che cè infezione l'osso non calcifica......cerca di non tenerlo infetto a lungo...se un giorno si dovesse chiudere la fistola all'esterno,corri subito in ospedale,perchè le infezioni all'osso sono devastanti...un'abbraccio e in bocca al lupo.....
     
  13. viperino

    viperino Presidente Onorario BMW

    17.430
    3.891
    25 Gennaio 2009
    Tortona
    Reputazione:
    991.548.873
    G26 20d xd MHEV U25 Countryman d MHEV
    .......:sad:
     
    A 1 persona piace questo elemento.
  14. SniperBMW

    SniperBMW Presidente Onorario BMW

    22.539
    1.351
    30 Luglio 2007
    Reputazione:
    7.276.468
    La mia
    Grazie a tutti Ragazzi per i Vostri graditi e piacevoli pensieri!

    [​IMG]

    @Infinity: il bagno lo faccio eccome! Ho più batteri io nella gamba che tutti quelli che ci sono nel mare! :D /emoticons/biggrin@2x.png 2x" width="20" height="20" />:D:D
     
  15. Pecos80

    Pecos80 Amministratore Delegato BMW

    3.128
    1.156
    3 Ottobre 2012
    Reputazione:
    721.367.992
    BMW X3 G01/Ferrari Testarossa&Portofino
    Rinnovo il mio grosso in bocca al lupo per le prossime visite e interventi ;) /emoticons/wink@2x.png 2x" width="20" height="20" />
     
  16. uberto

    uberto Amministratore Delegato BMW

    3.077
    138
    9 Maggio 2010
    Reputazione:
    82.218
    320i touring e46
    Tibia a pezzi

    Forza che si risolvera'

    Pensa positivo

    Saluti da Uberto, convalescente da un'altro intervento di alleggerimento piRlota

    (Tira via un pezzetto di qua, uno di la, sto kasso di tumore sembra sia sistemato, per un po'...)

    Pensare positivo e affrontare con grinta e determinazione la situazione in generale mi abbreviano la convalescenza
     
  17. viperino

    viperino Presidente Onorario BMW

    17.430
    3.891
    25 Gennaio 2009
    Tortona
    Reputazione:
    991.548.873
    G26 20d xd MHEV U25 Countryman d MHEV
    Se bastasse......speriamo!!:cool:
     
    A 2 persone piace questo elemento.
  18. SniperBMW

    SniperBMW Presidente Onorario BMW

    22.539
    1.351
    30 Luglio 2007
    Reputazione:
    7.276.468
    La mia
    Meravigliose e graditissime parole! Grazie!

    La positività non mi manca, credimi!

    In bocca al lupo anche a te carissimo!:kiss
     
    A 1 persona piace questo elemento.
  19. SniperBMW

    SniperBMW Presidente Onorario BMW

    22.539
    1.351
    30 Luglio 2007
    Reputazione:
    7.276.468
    La mia
    Meno 10 ore alla quinta operazione.... [​IMG]
     
    A 1 persona piace questo elemento.
  20. Michele G.

    Michele G. Presidente Onorario BMW

    29.995
    6.054
    2 Febbraio 2012
    Reputazione:
    788.135.120
    La Perla Bianca
    Sempre un grosso in bocca al lupo...:kiss
     

Condividi questa Pagina